In 2017, the Nobel Prize in Chemistry was awarded to Jacques Dubochet, Joachim Frank, and Richard Henderson for their development of cryo-electron microscopy (cryo-EM). In 1986, Ernst Ruska, and Gerd Binning and Heinrich Rohrer won the Nobel Prize in Physics for designing the first electron microscope and for designing the scanning tunneling microscope respectively. In 1982, Aaron Klug won the Nobel Prize in Chemistry for developing crystallographic electron microscopy. With so many Nobel Prizes having been awarded for electron microscopy, what makes this recent development different from the other two?
The keywords for cryo-EM are proteins and resolution. Binning and Rohrer’s scanning tunneling microscope, designed way back in 1981, had a maximal lateral resolution of 0.1 nm and a maximal depth resolution of 0.01 nm—a resolution high enough to resolve individual atoms. They do this by slowly hovering a needle only one atom wide at the tip over an extremely flat surface of a solid that is made of a uniform lattice of atoms and reading the disturbances in the voltage difference between the surface and the microscope tip.
However, proteins (and other macromolecules but we are less excited about them—“another DNA structure, woooooo,” said nobody ever after the double-helix structure was determined in 1953) are these wild things that require atomic-level resolution to determine how the individual amino acids are oriented, but are also absolutely gigantic molecules where the 3-dimensional configurations of said amino acids matter just as much, if not more as their identities. Therefore it is no surprise that just slowly hovering a really thin needle over a uniform layer of proteins doesn’t really get you to this 3D structure. Not to mention that proteins are really delicate flowers and will precipitate and become some amorphous aggregate if you so much as look at them funny (okay I exaggerate, but only slightly). A good resolution of a protein for structural biologists averages at around 2.5 angstroms (Å, 1 Å = 0.1 nm), though there are many that have a higher resolution. For reference, a covalently bonded carbon atom has a diameter of 1.5 Å.
The current gold standard for protein structural determination is with x-ray crystallography, where an x-ray beam is fired into a protein crystal and due to the crystalline nature of the proteins, the single beam diffracts into many different directions which is caught on a screen. The beam’s diffraction angles and intensities can then be measured to produce a 3D electron-density map of the individual atoms can be reconstituted to eventually yield a complete 3D protein structure. However, protein crystallization often requires the use of poisonous salts and precipitants, and extreme pHs that would never be found in living organisms and very large proteins and membrane proteins are often impossible to crystallize. (Also the actual crystallization process is very luck-based and even for regular sized proteins may or may not happen. Trying to grow protein crystals is very good for building character.) This is where cryo-EM, our star, finally comes into the scene.
Electron microscopy usually uses some form of electron interactions between a source and the object to be imaged. In order to not disturb these delicate interactions, the imaging has to take place in an absolute vacuum, which falls under the “will aggregate protein” condition category. Instead, a pure sample of a protein of interest is frozen down and an electron beam is fired onto the frozen protein to produce an image—a “trace”—on a detector. Other than the freezing instead of vacuum, this sounds like pretty standard electron microscopy, no? The key advancements were figuring out how to flash freeze water-soluble proteins (because normal freezing could also fall in the “will aggregate protein” category, and may produce ice crystals which are NOT protein) and how to get the detectors good enough to achieve the really high resolution but also really large width required to image proteins.
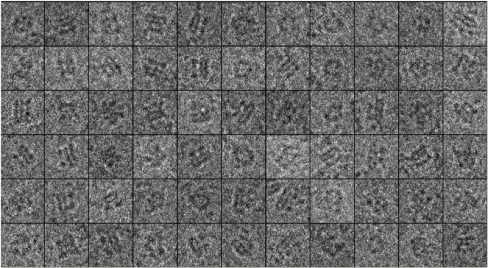
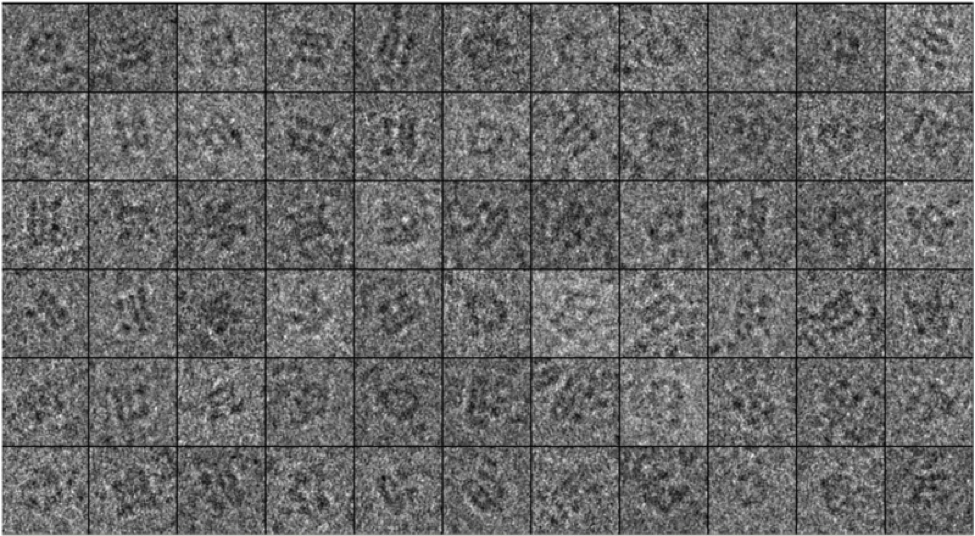
The protein in the frozen sample is found in various orientations and from taking an image of hundreds of different orientations of the same protein using the new, high-tech detector that was recently developed, a computer can be used to generate a complex electron density map comparable to those obtained through x-ray crystallography, which can then be used to generate the true structure of the protein in high resolution and accuracy.

An example of cryo-EM images of a protein that together can be used to generate a 3D structure. Image: Maofu Liao, Harvard Medical School.
The beauty of cryo-EM is that it can do everything that x-ray crystallography cannot: image proteins in a non-poisonous environment and image very large proteins. It also doesn’t require painstakingly screening every possible combination of precipitant, salt, and pH possible and hoping and praying that out of one of those potentially thousands of combinations a crystal will grow within your tenure in that lab.
But you may be wondering, “who cares about protein structures anyways?”. Protein structures are very important in drug development, and are also important in understanding the molecular mechanisms of both healthy and disease states. Viruses are also basically protein assemblies, and determining their structures are very important in understanding their pathology and behaviour on a molecular scale. Also, they look cool! (Protein aesthetics is usually how people get suckered into structural biology). Appreciate this nice picture of the Zika virus obtained through cryo-EM. 
Cryo-EM structure of the Zika Virus. PDB: 5IRE Sirohi et al. (2016) The 3.8 angstrom resolution cryo-EM structure of Zika virus. Science. 352, 467-470
Happy lurking the cryo-EMs!
